TransZol Up Plus RNA Kit - ER501
Product Name
TransZol Up Plus RNA Kit (ER501)
High-Impact Factor Literature Collection
•Fan Y H,Xu W C, Gao B Q,et al. Leveraging base excision repair for efficient adenine base editing of mitochondrial DNA[J]. Nature biotechnology, 2025.(IF 33.10)
•Li G, Chen G, Yuan G H, et al. Specific and efficient RNA A-to-I editing through cleavage of an ADAR inhibitor[J]. Nature Biotechnology, 2025.(IF 33.10)
•Du P, Li N, Xiong X, et al. A bivalent vaccine containing D614G and BA. 1 spike trimer proteins or a BA. 1 spike trimer protein booster shows broad neutralizing immunity[J]. Journal of Medical Virology, 2022.(IF 20.69)
•Wang B, Tang X, Yao L, et al. Disruption of USP9X in macrophages promotes foam cell formation and atherosclerosis[J]. The Journal of Clinical Investigation, 2022.(IF 19.46)
•Guo Z, Cao H, Zhao J, et al. A natural uORF variant confers phosphorus acquisition diversity in soybean[J]. Nature Communications, 2022.(IF 17.69)
•Li X, Zhou L, Gao B Q, et al. Highly efficient prime editing by introducing same-sense mutations in pegRNA or stabilizing its structure[J]. Nature Communications, 2022.(IF 17.69)
•Wang L, Xue W, Zhang H, et al. Eliminating base-editor-induced genome-wide and transcriptome-wide off-target mutations[J]. Nature Cell Biology, 2021.(IF 17.30)
•Han W, Gao B Q, Zhu J, et al. Design and application of the transformer base editor in mammalian cells and mice[J]. Nature Protocols, 2023.(IF 14.80)
•Jiang Q, Xie Y, Zhou B, et al. Nanomaterial inactivates environmental virus and enhances plant immunity for controlling tobacco mosaic virus disease[J]. Nature Communications, 2024.(IF 14.70)
•Shan X, Zhao Z, Lai P, et al. RNA nanotherapeutics with fibrosis overexpression and retention for MASH treatment[J]. Nature Communications, 2024.(IF 14.70)
•Zhao Z, Ning J, Bao X, et al. Fecal microbiota transplantation protects rotenone-induced Parkinson’s disease mice via suppressing inflammation mediated by the lipopolysaccharide-TLR4 signaling pathway through the microbiota-gut-brain axis[J]. Microbiome, 2021.(IF 14.65)
•Zhang M, Li F D, Li K, et al. Functional characterization and structural basis of an efficient di-C-glycosyltransferase from Glycyrrhiza glabra[J]. Journal of the American Chemical Society, 2020.(IF 14.40)
•He L, Ma S, Ding Z, et al. Inhibition of NFAT5‐Dependent Astrocyte Swelling Alleviates Neuropathic Pain[J]. Advanced Science, 2024.(IF 14.30)
•Zuo F, Jiang L, Su N, et al. Imaging the dynamics of messenger RNA with a bright and stable green fluorescent RNA[J]. Nature Chemical Biology, 2024.(IF 13.00)
•Wang W Q, Xu D Y, Sui Y P, et al. A multiomic study uncovers a bZIP23-PER1A–mediated detoxification pathway to enhance seed vigor in rice[J]. Proceedings of the National Academy of Sciences, 2022.(IF 11.20)
Features
Compared with other total RNA extraction methods, TransZol Up Plus RNA Kit possesses not only advantages of strong lysis capability, high yield and a wide range of applications of TransZol Up, but also the advantage of high purity of spin column extraction.
• Wide range of applications: animal and plant tissues, virus and bacteria, etc. Small samples (50-100 mg tissue, 5 x 106 cells, 200 μl blood). Large samples (≥1 g tissue or ≥107 cells). The binding capacity of the spin-columns is up to 100 µg RNA.
• Strong lysis capability: complete and fast lysis, high yield.
• Fast extraction: the reaction can be completed within an hour.
• Visible workflow: pink organic phase to facilitate separation from colorless aqueous phase.
• High purity: minimum DNA and protein contamination.
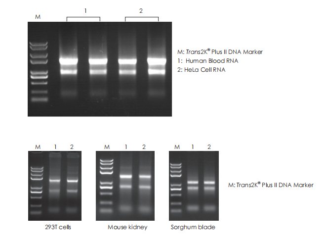
Data Presentation

Product Information
